Implanty
Nowoczesna implantologia subkrestalna
Implantologia subkrestalna wprowadziła przełom w technologii odbudowy zębów, łącząc estetykę z najwyższą funkcjonalnością. Implant subkrestalny jest wprowadzany 2 mm poniżej linii kości, co zapewnia jego trwałość, a jednocześnie pozwala na stosowanie implantów o niewielkich rozmiarach.
Wiele osób zetknęło się z przypadkami, kiedy implant „nie przyjął się”. Przyczyną takich sytuacji były wcześniejsze, starsze technologie wykorzystujące agresywne śruby. Wprowadzanie ich mogło wywoływać reakcję obronną organizmu, prowadzącą do zaniku kości i komplikacji w procesie gojenia. Zabiegi te wiązały się z dużym dyskomfortem i bólem dla Pacjenta.
Nasza klinika, dzięki długofalowej współpracy z uznaną firmą MegaGen, stosuje rozwiązania oparte na precyzyjnym planowaniu leczenia prowadzącym do uzyskania estetycznego i funkcjonalnego efektu.
Nasz program, bazując na skanie i tomografii, dokonuje niezbędnych obliczeń i automatycznie wskazuje lekarzowi optymalne miejsca do wprowadzenia implantu. Nowoczesna konstrukcja implantów umożliwia ich umieszczanie 2 mm w głąb kości, co eliminuje potrzebę stosowania dużych, agresywnych śrub.
Badania dowiodły, że kluczową rolę odgrywa technika wszczepienia, a nie rozmiar implantu.
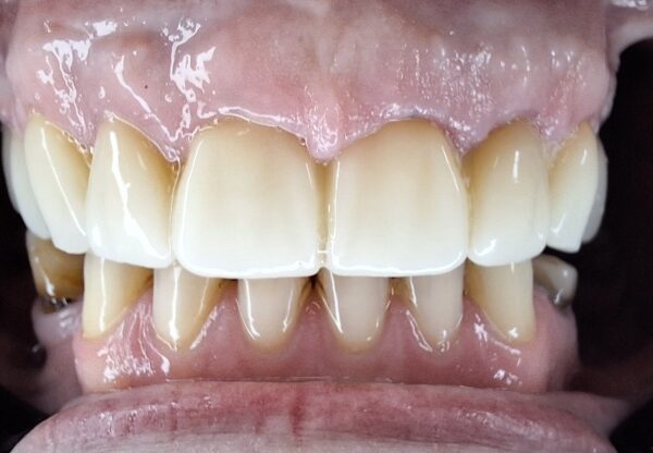
Obecnie możliwe jest natychmiastowe obciążenie implantu. W trakcie jednej wizyty, przy zastosowaniu miejscowego znieczulenia, usuwamy korzeń zęba i wprowadzamy implant w miejscu największej gęstości kości, przy użyciu specjalistycznej aparatury, precyzyjnie określającej siłę, prędkość i tempo wprowadzenia implantu. Następnie skanujemy implant i za pomocą drukarki 3D, tworzymy tymczasową koronę z PMMA (polimetakrylanu metylu). Korona ta wygląda identycznie jak nasz naturalny ząb – możemy od razu swobodnie się uśmiechać i jeść.
Cała procedura trwa około dwóch godzin i pozwala na natychmiastowy powrót do codziennych aktywności. Po upływie trzech miesięcy, koronę z PMMA wymieniamy na trwałą koronę z cyrkonu – proces ten jest bezbolesny, więc nie wymaga znieczulenia.
Nawet przy całkowitym braku uzębienia możemy przywrócić Tobie komfort życia z pięknym, funkcjonalnym uśmiechem. Zęby pacjent może stracić nie tylko z powodu choroby przyzębia ale także w wyniku urazu. Uzupełnienia górne mają się czego trzymać gdyż kości w szczęce zawsze jest dużo natomiast uzupełnienia dołu są zmorą pacjentów i lekarzy gdyż kość żuchwy zanika szybko i jest jej zawsze niewiele. Mocowanie dołu na klej daje tylko pozory komfortu bo i tak towarzyszy Tobie ciągły niepokój związany z tym czy proteza się nie odklei, czy coś pod nią nie wejdzie w najmniej spodziewanym momencie już pomijając fakt, że gryzie się nią bardzo ostrożnie a pokarm nie jest dostatecznie rozdrabniany.
Nowoczesne metody pozwalają uzupełnić braki tak zwaną techniką all-on-four (wszystko na czterech). Program R2Gate precyzyjnie określi gdzie umieścić implanty. Wydrukowany szablon pomoże lekarzowi wprowadzić je precyzyjnie w miejsca wyliczone przez program a wykonane wcześniej pomiary sił, które będzie wywierać uzupełnienie zapewni nas o powodzeniu zabiegu.
Zastosowanie tej techniki znacząco obniża koszty, które będziesz musiał ponieść aby wrócić do życia z pełnym uśmiechem. Nie potrzebujesz już tak wielkiej liczy implantów aby móc ponownie cieszyć się komfortem przyjmowania posiłków. Uzupełnienie to nie musi być mostem. Implanty mogą trzymać belkę na której założymy uzupełnienie dołu, które będziesz mógł zdejmować ale belka przenosząc siły na implanty przywraca odczucie gryzienia własnymi zębami zapewniając całkowitą stabilność i utrzymanie zakładanego uzupełnienia.
Co, jeśli ilość kości jest niewystarczająca? W takich przypadkach stosujemy innowacyjny materiał – EthOss, czyli „kość w proszku”. Materiał ten, wymieszany ze sterylną solą fizjologiczną, uzupełnia braki w kości, umożliwiając implantację bez konieczności bolesnego przeszczepu. Możemy użyć go zarówno przed zabiegiem, jak i w trakcie implantacji, aby osiągnąć optymalny efekt estetyczny.
Stosowania EthOss nauczyli mnie moi mentorzy dr Peter Fairbairn oraz profesor Howard Gluckman.
Dynamiczny rozwój implantologii sprawił, że w niektórych krajach, takich jak na przykład Dania, implanty coraz częściej stanowią alternatywę dla leczenia kanałowego. Pomimo precyzyjności, leczenie kanałowe niesie za sobą ryzyko komplikacji, takich jak złamanie narzędzia w kanale czy pęknięcie osłabionego zęba. Natomiast dzięki nowoczesnym implantom subkrestalnym, możemy zapewnić trwałe i komfortowe rozwiązanie.











